Specialized orthodontic care for children, teens, and adults using modern treatment techniques and precise diagnosis guided by more than
11 years of clinical experience
Including advanced clear aligner treatment provided by a certified Invisalign provider
Specialized orthodontic care for children, teens, and adults using modern treatment techniques and precise diagnosis guided by more than
11 years of clinical experience.
Including advanced clear aligner treatment provided by a certified Invisalign provider.
Comfortable and discreet orthodontic solution
Guiding jaw growth early for healthier future teeth
Transparent Ceramic Brackets for more discreet Braces
Reliable and effective correction for all alignment and bite problems
Dr. Mahmoud M. Darwish
Every treatment begins with a complete orthodontic analysis to determine the exact cause of the problem.
Digital planning and modern orthodontic systems improve accuracy and shorten treatment time.
Gentle techniques designed to minimize discomfort during treatment.
Treatment planned and monitored by a certified Invisalign provider for predictable and safe results.
Darwish
Dr. Mahmoud M.Darwish is a specialized orthodontist dedicated to creating balanced bites and confident smiles through medically guided treatment planning
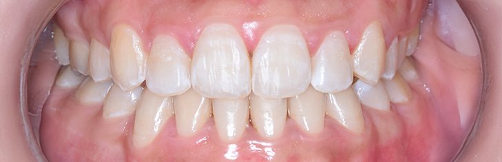
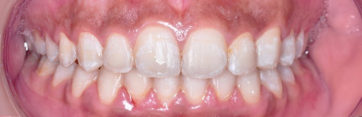
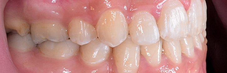
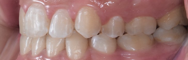
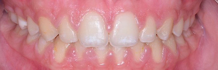
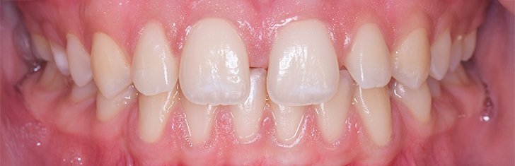
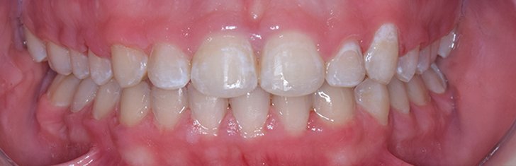
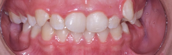
Real Smiles
Every smile tells a story. Discover real orthodontic results achieved with precision and care












Excellent, very kind, quick, and helpful. May God grant him good health. I highly recommend him.
I am very satisfied with the results of my braces, and thank God the journey was smooth and comfortable from beginning to end. To be fair, Dr. Darwish is very kind and ethical in every visit and deals with patients with high professionalism and expertise. Thank you from the bottom of my heart, Dr. Mahmoud… Choosing you was the best decision. 🙏
Result: After a year and a half of wearing braces, the result was perfect and the teeth were in proper alignment. The doctor provided excellent care during the follow-up period, and the work was highly professional. The nurse was also very helpful and efficient.
Mashallah, may God bless him. I highly recommend Dr. Mahmoud Al-Darwish for orthodontics and post-orthodontic treatment. He has a very light touch, understands his work, and gives you the gist of it. May God grant him good health.
Schedule your consultation and take the first step toward
a healthier more confident smile
Sun – Wed : 1:00 PM – 9:00 PM
Thu : 10:00 AM – 5:00 PM
Sat : 2:00 PM – 10:00 PM
Fri : Closed
© 2026 Designed By MSB
© 2026 Designed By MSB